espa,

Οδοντιατρικά Περιστατικά

Τραύματισμός Δοντιού
Τραύματισμός Δοντιού

Άμεση αποκατάσταση σπασμένου δοντιου

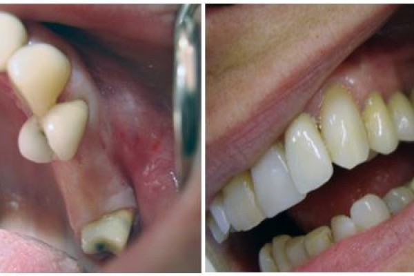
Οδοντικά Εμφυτεύματα
Οδοντικά Εμφυτεύματα

Οδοντικο εμφυτευμα για αποκατασταση μεμονωμενου δοντιου

Λεύκανση δοντιών
Λεύκανση δοντιών

Περιστατικο λευκανσης μεσα σε μια επισκεψη

Εμφυτεύματα
Εμφυτεύματα

Προσθηκη οδοντικου εμφυτευματος

Ορθοδοντική
Ορθοδοντική

Ορθοδοντικη θεραπεία με ακίνητα ορθοδοντικά μηχανήματα (σιδεράκια)

Ορθοδοντική
Ορθοδοντική

Ορθοδοντική θεραπεία με ακίνητα ορθοδοντικά μηχανήματα (σιδεράκια) και 4 εξαγωγές

 

Κονσόλα Αποσφαλμάτωσης του Joomla!

Συνεδρία

Πληροφορίες Προφίλ

Χρήση Μνήμης

Ερωτήματα Βάσης Δεδομένων